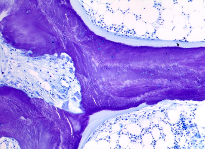
Das Osteoid ist in seiner Oberflächenausdehnung und in seiner Breite vermehrt. Die Osteoidoberfläche wird von kubischen Osteoblasten austapeziert. Zusätzlich bestehen vermehrt Resorptionslakunen mit Osteoklasten und Resorptionslakunen.
Klinik
Diffuse Knochenschmerzen. Vermehrte Strahlentransparenz der Wirbelsäule. Chronische Pankreatitis und St.n. Billroth II Magenresektion. Kachexie, Muskelschwäche, tetanische Beschwerden.
Kommentar
Ein gleiches Bild könnte auftreten bei einem primären Hyperparathyreoidismus, bei einer renalen Osteopathie oder bei einem Zustand nach Fluoridmedikation auftreten. Histologisch kann lediglich eine Osteoidose diagnostiziert werden. Zusammen mit der klinischen Angabe kann in diesem Fall von einem Vitamin D Mangel (Osteomalazie) ausgegangen werden.