Pathopic
HiPaKu
ZyPaKu
PathoBasic
PathoBasic Cytology
Quizzes
Projektinfos
PathoPic - Projekt- und Copyright-Infos
About
Pathopic
HiPaKu
ZyPaKu
PathoBasic
PathoBasic Cytology
Quizzes
PathoPic – image database
/
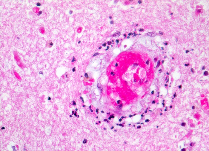
PathoPic ID 3528 - anämischer Hirninfarkt: frischer Thrombembolus
de
Diagnose
anämischer Hirninfarkt: frischer Thrombembolus
Diagnose Gruppe
vaskulär / Durchblutungsstörung
Topographie
Hirn parietal
Topographie Gruppe
Nervensystem
Beschreibung
Gefäss mit frischerem Thrombembolus. Im Randbereich des Gefässes zahlreiche
neutrophile Granulozyten. Im Hirnparenchym hypereosinophile
nekrotische Neurone ohne erkennbare Kerne.
Klinik
Vor 7 Tagen Entwicklung eines Hemisyndrom links.
Bilder Typ
Histologie
Vergrösserung
200
Alter
87
Geschlecht
unbekannt
Datum
Ersteintrag: 25.09.2002
Update: 04.02.2024
CPS
·
©
2024 Institut für Pathologie Basel
/
Dr. med. Katharina Glatz-Krieger
.
·
v2.1