Pathopic
HiPaKu
ZyPaKu
PathoBasic
PathoBasic Cytology
Quizzes
Projektinfos
PathoPic - Projekt- und Copyright-Infos
About
Pathopic
HiPaKu
ZyPaKu
PathoBasic
PathoBasic Cytology
Quizzes
PathoPic – image database
/
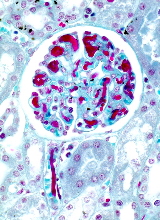
PathoPic ID 3530 - disseminierte intravasale Gerinnung
de
Diagnose
disseminierte intravasale Gerinnung
Diagnose Gruppe
vaskulär / Durchblutungsstörung
Topographie
Niere
Topographie Gruppe
Niere, Harnwege
Beschreibung
Die Glomerulumkapillaren und das
Vas afferens sind angefüllt mit roten wurmförmigen Fibrinthromben.
Klinik
Sepsis. Multiple Hämatome an druckbelasteten Hautlokalisationen. Akutes Nierenversagen.
Bilder Typ
Histologie
Vergrösserung
125
Alter
66
Geschlecht
unbekannt
Datum
Ersteintrag: 13.11.2002
Update: 04.02.2024
CPS
·
©
2024 Institut für Pathologie Basel
/
Dr. med. Katharina Glatz-Krieger
.
·
v2.1