PathoPic – image database / PathoPic ID 3533 - Rheumatismus nodosus

de
Diagnose
Rheumatismus nodosus
Diagnose Gruppe
Systemerkrankung/Immunpathologie
Topographie
Weichteile Arm
Topographie Gruppe
Weichteile
Beschreibung
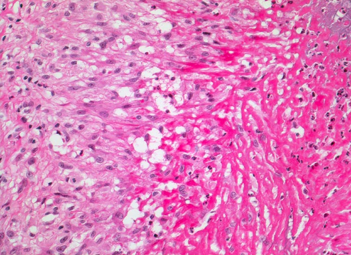
Rechts im Bild hypereosinophile fibrinoide Nekrose mit Einschluss von neutrophilen Granulozyten. Angrenzend an die fibrinoide Nekrose links im Bild palisadenförmig angeordnete Epitheloidzellen. Etwas weiter aussen sind locker eingestreute Lymphozyten und Granulozyten zwischen den Epitheloidzellen erkennbar.
Klinik
Patientin mit rheumatoider Arthritis. Derber, verschieblicher subkutaner Knoten an der Streckseite des Unterarmes nahe des Ellenbogens.
Bilder Typ
Histologie
Vergrösserung
200
Alter
48
Geschlecht
unbekannt
Datum
Ersteintrag: 25.09.2002
Update: 04.02.2024