PathoPic – image database / PathoPic ID 3537 - septisch bakterielle Myokarditis (septikopyämische Myokarditis)

de
Diagnose
septisch bakterielle Myokarditis (septikopyämische Myokarditis)
Diagnose Gruppe
Entzündung infektiös
Topographie
Herz
Topographie Gruppe
Kardiovaskuläres System
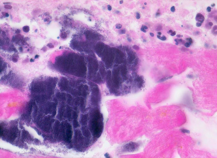
Beschreibung
Dunkelblaue Haufen von Kokkenbakterien liegen zwischen den nekrotischen Myokardfasern (hypereosinophiles Zytoplasma, keine Kerne erkennbar). Daneben neutrophile Granulozyten.
Klinik
Patient mit bakterieller Staphylokokken-Endokarditis der Aortenklappe bei bekanntem intravenösem Drogenabusus.
Kommentar
In der HE Färbung blau gefärbt sind Bakterien, Kalk oder Nukleinsäuren (Kernmaterial).
Bilder Typ
Histologie
Vergrösserung
630
Alter
34
Geschlecht
männlich
Datum
Ersteintrag: 25.09.2002
Update: 04.02.2024