PathoPic – image database / PathoPic ID 3539 - Fibroadenom der Mamma. Mikroverkalkungen.

de
Diagnose
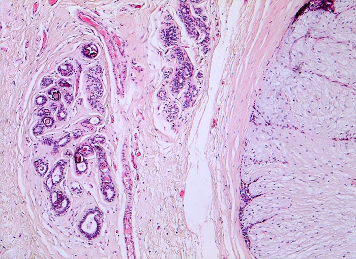
Fibroadenom der Mamma. Mikroverkalkungen.
Diagnose Gruppe
benigner Tumor
Topographie
Mamma
Topographie Gruppe
Mamma
Beschreibung
Rechts im Bild das scharf begrenzte Fibroadenom bestehend aus reichlich zellarmem Stroma und komprimierten von Epithel ausgekleideten Gängen. Links davon leicht fibrosierte Drüsenläppchen, welche intraazinäre Mikroverkalkungen enthalten.
Klinik
Scharf begrenzter frei beweglicher 3cm grosser derber Knoten im oberen äusseren Quadranten.
Kommentar
Mikroverkalkungen können auch in nicht neoplastischem Mammaparenchym auftreten, sind also nicht zwingend mit einem in situ Karzinom oder einem invasiven Karzinom assoziiert.
Bilder Typ
Histologie
Vergrösserung
100
Alter
38
Geschlecht
unbekannt
Datum
Ersteintrag: 25.09.2002
Update: 04.02.2024