PathoPic – image database / PathoPic ID 3542 - pseudomembranöse Kolitis

de
Diagnose
pseudomembranöse Kolitis
Diagnose Gruppe
Entzündung infektiös
Topographie
Kolon
Topographie Gruppe
Darm, Anus
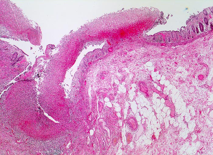
Beschreibung
Die Kolonschleimhaut weist fleckförmige Nekrosen auf. Auf den nekrotischen Zonen liegen pilzförmige Pseudomembranen bestehend aus Schleim, Entzündungszellen und Fibrin.
Klinik
Schwere Diarrhoe, Fieber, Erbrechen, krampfartige Bauchschmerzen 4 Tage nach Beginn einer Antibiotikatherapie mit Ampicillin. Im Stuhl Nachweis von Clostridien Toxinen. Endoskopisch typisches Bild mit erhabenen gelben Plaques auf der Mukosa.
Bilder Typ
Histologie
Vergrösserung
25
Alter
67
Geschlecht
männlich
Datum
Ersteintrag: 25.09.2002
Update: 04.02.2024