Diagnose
Metastase: invasiv duktales Mammakarzinom
Diagnose Gruppe
maligner Tumor
Topographie Gruppe
Oesophagus, Magen
Beschreibung
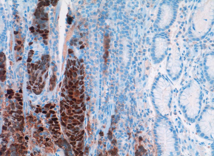
Die Tumorzellen füllen die Drüsenschläuche des Magens aus und verdrängen die orstständigen Zellen. Die Tumorzellkerne sind stark positiv für den Östrogenrezeptor.
Klinik
Seit 21 Monaten bekannte Metastasen eines invasiv duktalen Mammakarzinoms im Magenantrum
Immunhistochemie
Oestrogen Rezeptor
Datum
Ersteintrag: 17.12.2001
Update: 04.02.2024