PathoPic – image database / PathoPic ID 3564 - frische Lungenembolie

de
Diagnose
frische Lungenembolie
Diagnose Gruppe
vaskulär / Durchblutungsstörung
Topographie
Lunge
Topographie Gruppe
Lunge, Mediastinum mit Thymus
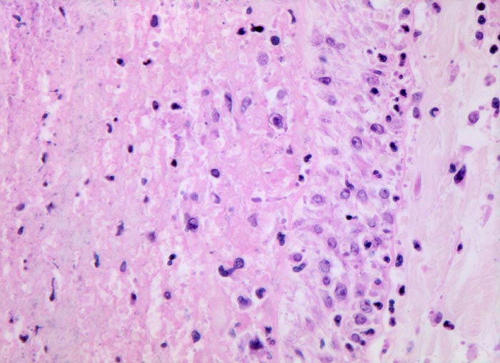
Beschreibung
Rechts im Bild die Gefässwand. Links im Bild der Embolus bestehend aus Fibrin und zerfallenden neutrophilen Granulozyten. An der Grenze zwischen Gefässwand und Embolus hat sich noch kein Organisationsgewebe ausgebildet. Man sieht an dieser Stelle jedoch zahlreiche eingewanderte Monozyten.
Klinik
Tiefe Beinvenenthrombosen bei metastasierendem Prostatakarzinom. Koronare Herzkrankheit.
Bilder Typ
Histologie
Vergrösserung
320
Alter
86
Geschlecht
männlich
Datum
Ersteintrag: 25.09.2002
Update: 04.02.2024