PathoPic – image database / PathoPic ID 3565 - hämorrhagischer Lungeninfarkt

de
Diagnose
hämorrhagischer Lungeninfarkt
Diagnose Gruppe
vaskulär / Durchblutungsstörung
Topographie
Lunge
Topographie Gruppe
Lunge, Mediastinum mit Thymus
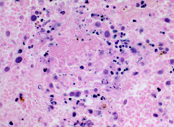
Beschreibung
Das Lungengerüst ist nur noch schattenhaft erkennbar. Die Kerne von nekrotischen Typ II Pneumozyten sind stark abgeblasst. Von anderen Zellen sind nur noch Kerntrümmer erkennbar. Die Alveolen enthalten reichlich Blut und Fibrin.
Klinik
Tiefe Beinvenenthrombosen bei metastasierendem Prostatakarzinom. Koronare Herzkrankheit.
Bilder Typ
Histologie
Vergrösserung
400
Alter
86
Geschlecht
männlich
Datum
Ersteintrag: 17.12.2001
Update: 04.02.2024