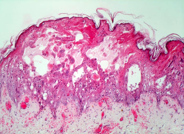
Intraepidermale Bläschen gefüllt mit serösem Exsudat (= Form der exsudativen serösen Entzündung) und mehrkernigen virusinfizierten Plattenepithelien. Entzündungszellen fehlen aufgrund der Immunsuppression (HIV positive Patientin) weitgehend. Im Korium schwere hämorrhagische Entzündung: Gefässhyperämie mit Erythrozytenextravasaten in die Dermis (typisch auch für andere Viren, z.B. Grippe)
Klinik
Rezidivierender Ausschlag im Bereich der Vulva. Zunächst beginnend mit einer Hautrötung, Brennen und Juckreiz, später Gruppen von wasserklaren Bläschen. Diese gehen über in schmerzhafte Ulzera. Die Ulzera verkrusten und heilen innert einer Woche ab. Die Patientin ist HIV positiv.