PathoPic – image database / PathoPic ID 3571 - Wundheilung

de
Diagnose
Wundheilung
Diagnose Gruppe
Entzündung / Reparatur
Topographie
Haut, Rumpf
Topographie Gruppe
Haut
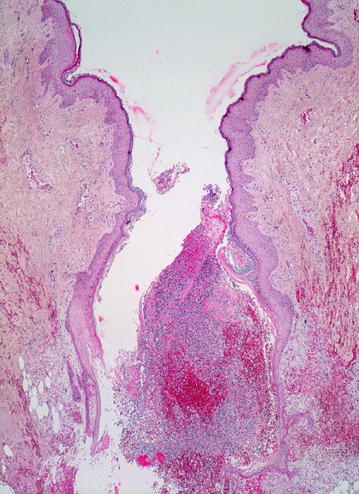
Beschreibung
Spaltförmiger Defekt des Plattenepithels, der sich fortsetzt in die darunterliegende Cutis. Der Spalt ist angefüllt mit Blut, Fibrin, Detritus (vorläufiger Propf). In den obersten Schichten massenhaft neutrophile Lenkozyten.
Klinik
6 Tage alte Wunde am Abdomen nach Laparotomie.
Kommentar
Noch keine wesentliche Pflasterepithel-Regeneration möglicherweise als Ausdruck einer Wundheilungsstörung.
Bilder Typ
Histologie
Vergrösserung
25
Alter
42
Geschlecht
männlich
Datum
Ersteintrag: 17.12.2001
Update: 04.02.2024