Pathopic
HiPaKu
ZyPaKu
PathoBasic
PathoBasic Cytology
Quizzes
Projektinfos
PathoPic - Projekt- und Copyright-Infos
About
Pathopic
HiPaKu
ZyPaKu
PathoBasic
PathoBasic Cytology
Quizzes
PathoPic – image database
/
PathoPic ID 3574 - Wundheilung: Granulationsgewebe
de
Diagnose
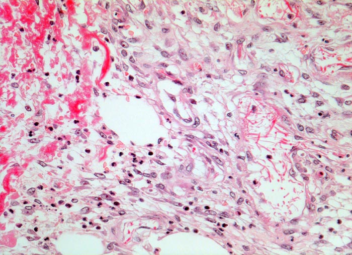
Wundheilung: Granulationsgewebe
Diagnose Gruppe
Entzündung / Reparatur
Topographie
Haut, Rumpf
Topographie Gruppe
Haut
Beschreibung
Lockeres, ödematöses Granulationsgewebe mit spindelförmigen
Fibroblasten und wenigen
neutrophilen Granulozyten. Links im Bild hellrotes Fibrin mit einzelnen neutrophilen Granulozyten.
Klinik
6 Tage alte Wunde am Abdomen nach Laparotomie.
Bilder Typ
Histologie
Vergrösserung
320
Alter
42
Geschlecht
männlich
Datum
Ersteintrag: 17.12.2001
Update: 04.02.2024
CPS
·
©
2024 Institut für Pathologie Basel
/
Dr. med. Katharina Glatz-Krieger
.
·
v2.1