PathoPic – image database / PathoPic ID 3580 - Fibroosteoklasie

de
Diagnose
Fibroosteoklasie
Diagnose Gruppe
Systemerkrankung/Immunpathologie
Topographie
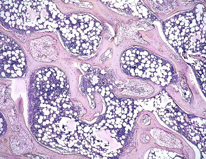
Knochen, Becken
Topographie Gruppe
Knochen, Knorpel, Gelenke
Beschreibung
Spongiosabälkchen mit tiefen Resorptionslakunen, welche die Bälkchen z.T. tunnelartig aushöhlen. Regelrechtes blutbildendes Knochenmark.
Klinik
Adenom der Nebenschilddrüse mit primärem Hyperparathyreoidismus. Nephrolithiasis.
Kommentar
Durch den massiven Knochenabbau kommt es zu einer Hyperkalzämie. Die damit verbundene Hyperkalzurie begünstigt eine Nephrolithiasis (10% der Patienten). Weitere Komplikationen sind rezidivierende Pankreatitiden, Neigung zu gastralen und duodenalen Ulzera, Gewichtsverlust, Obstipation und Knochenschmerzen.
Bilder Typ
Histologie
Vergrösserung
25
Alter
61
Geschlecht
männlich
Datum
Ersteintrag: 30.12.2001
Update: 04.02.2024