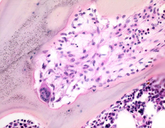
Spongiosabälkchen mit tiefer Resorptionslakune, die das Bälkchen tunnelartig aushöhlt. In dieser Lakune links unten im Bild ein Osteoklast mit >10 Kernen/Schnittebene. Parallel zur Spongiosaoberfläche vermehrt Osteoblasten. Die Resorptionslakune ist aufgefüllt mit lockerem Bindegewebe gebildet von Fibroblasten.
Klinik
Adenom der Nebenschilddrüse mit primärem Hyperparathyreoidismus. Nephrolithiasis.