Diagnose
Carcinoma in situ des Urothels
Diagnose Gruppe
Präneoplasie/ Atypie/ Dignität?
Topographie Gruppe
Niere, Harnwege
Beschreibung
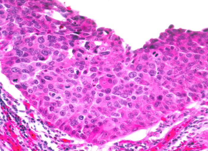
Verbreitertes Urothel. Mässig ausgeprägte Zellkernpolymorphie. Deutliche Vergösserung der hyperchromatischen Kerne mit Verschiebung der Kern-Zytoplasmarelation. Polaritätsverlust. Mitose im obersten Epitheldrittel.
Zusatzbefund
Invasives Plattenepithelkarzinom der Harnblase.
Datum
Ersteintrag: 27.12.2001
Update: 04.02.2024