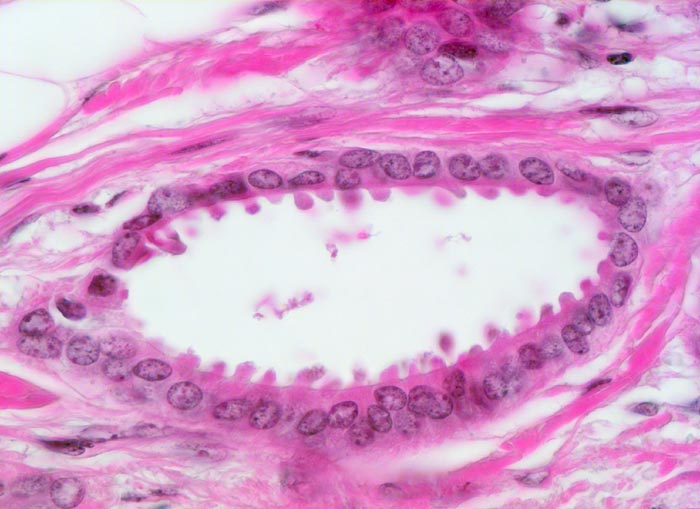
Tubuläre einreihige Karzinomdrüse ohne Basalmembran. Die Tumorzellen zeigen auffallende apikale Ausziehungen des Zytoplasmas (Snouts). Die Tumorzellkerne sind auffallend bland. Eine Myoepithelschicht fehlt.
Klinik
Positive Familienanamnese für Mammakarzinom. Tumorverdächtiger Herd in der rechten Mamma.