PathoPic – image database / PathoPic ID 369 - Fissurales Ulkus bei floridem Morbus Crohn

de
Diagnose
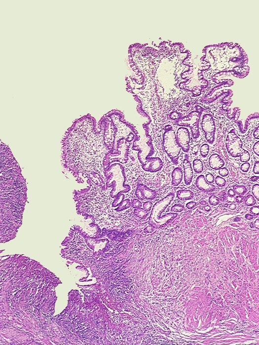
Fissurales Ulkus bei floridem Morbus Crohn
Diagnose Gruppe
Entzündung / Reparatur
Topographie
Ileum terminal
Topographie Gruppe
Darm, Anus
Beschreibung
Links das tiefreichende Ulkus. Rechts davon hyperplastische Dünndarmschleimhaut (makroskopisch Pflastersteinrelief).
Klinik
Stenose des terminalen Ileums mit chronischem Subileus
Bilder Typ
Histologie
Alter
53
Geschlecht
unbekannt
Datum
Ersteintrag: 09.11.2001
Update: 04.02.2024