PathoPic – image database / PathoPic ID 3747 - Langerhanszell Histiozytose

de
Diagnose
Langerhanszell Histiozytose
Topographie
Lymphknoten, Kopf-cervikal
Topographie Gruppe
Lymphatische Gewebe, KM, Milz
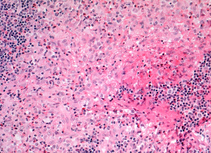
Beschreibung
Infiltratherd bestehend aus Langerhanszellen mit bohneförmigen Kernen und reichlich hellem Zytoplasma. Dazwischen zahlreiche eosinophile Granulozyten.
Zusatzbefund
CD1a und S-100 positive Langerhanszellen in den hellen Infiltratherden
Klinik
Knoten in der rechten Nackenregion seit einer Woche.
Kommentar
Differentialdiagnose:
Dermatopathische Lymphadenopathie (parakortikale Langerhanszellvermehrung nicht sinusoidal wie bei der Langerhanszellhisiozytose, keine Eosinophilie, keine Infiltration der Kapsel oder des perinodalen Gewebes)
Retikulozytär abszedierende Lymphadenitis (die von Retikulumzellen gesäumten Abszesse bestehen aus Ansammlungen neutrophiler Granulozyten und nicht eosinophiler Granulozyten)
Lymphadenopathie mit Eosinophilie bei Parasitosen und der Kimura Disease
Eosinophilie bei Hodgkin Lymphomen, peripheren T-Zell Lymphomen oder Schmincke Tumoren
Bilder Typ
Histologie
Vergrösserung
200
Alter
41
Geschlecht
unbekannt
Datum
Ersteintrag: 31.12.2001
Update: 04.02.2024