Diagnose
Hashimoto Thyreoiditis
Diagnose Gruppe
Systemerkrankung/Immunpathologie
Topographie Gruppe
Endokrinium
Beschreibung
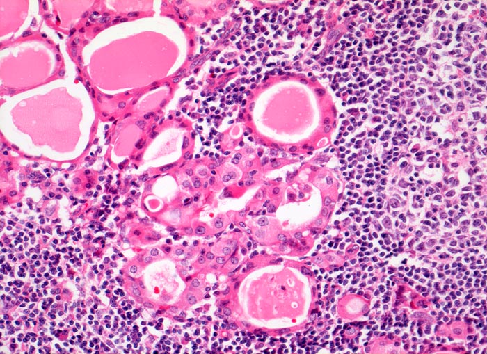
Rechts im Bild das Keimzentrum eines Lymphfollikels. Die Schilddrüsenfollikel im Bildzentrum sind umgeben von einem lymphozytären Entzündungsinfiltrat. Das Follikelepithel zeigt eine oxyphile Degeneration des Zytoplasmas.
Zusatzbefund
knotige Schilddrüse mit gescheckter Schnittfläche und herdförmigen Einblutungen.
Klinik
Szintigraphisch kalter Knoten
Kommentar
Die Grenzen zwischen fokaler Thyeroiditis und Hashimoto Thyeroiditis sind fliessend. Ein ausgeprägtes, flächenhaftes Entzündungsinfiltrat mit eosinophilzelliger Degeneration des Epithels erlaubt die Diagnose einer Hashimoto Thyreoiditis.
Datum
Ersteintrag: 31.12.2001
Update: 04.02.2024