PathoPic – image database / PathoPic ID 3796 - Hashimoto Thyreoiditis mit Resten eines Morbus Basedow

de
Diagnose
Hashimoto Thyreoiditis mit Resten eines Morbus Basedow
Diagnose Gruppe
Systemerkrankung/Immunpathologie
Topographie
Schilddrüse
Topographie Gruppe
Endokrinium
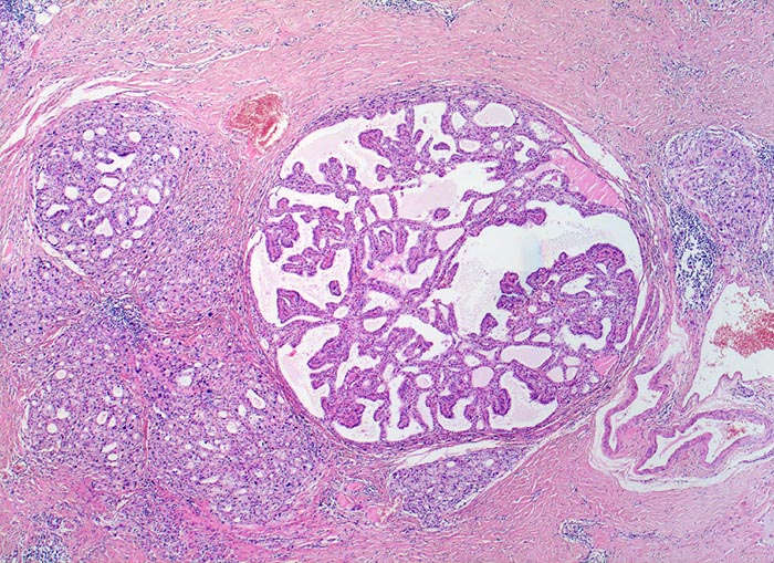
Beschreibung
Ausgeprägte Vernarbung des Parenchyms mit herdförmigem chronischem Entzündungsinfiltrat. Kleintubuläre und solide Parenchymanteile, sowie kleine kolloidfreie Follikel. Ausserdem ein Regeneratknoten mit pseudopapillären Formationen.
Klinik
Vor 2 Jahren beidseitige Strumektomie. Exophthalmus und Myxödeme der Unterschenkel.
Kommentar
Gelegentlich kann eine Basedow-Hyperthyreose in eine Struma lymphomatosa Hashimoto mit Hypothyreose übergehen (sog. Hashitoxikose), was die z.T. fließenden Übergänge zwischen den einzelnen Formen der Immunthyreopathien verdeutlicht.
Bilder Typ
Histologie
Vergrösserung
200
Alter
30
Geschlecht
unbekannt
Datum
Ersteintrag: 31.12.2001
Update: 04.02.2024