Diagnose
papilläres Schilddrüsenkarzinom diffus sklerosierende Variante
Diagnose Gruppe
maligner Tumor
Topographie Gruppe
Endokrinium
Beschreibung
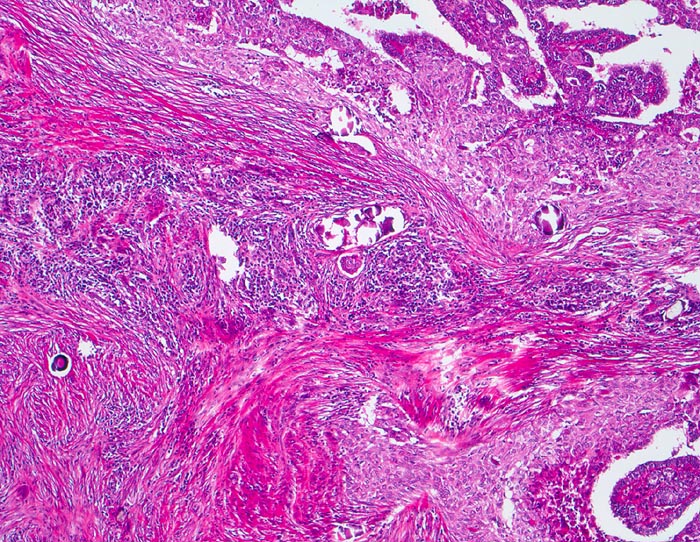
Infiltration der Schilddrüse durch ein papilläres Karzinom mit teils epidermoider Architektur. Auffällige Stromasklerose mit lymphozytärem Entzündungsinfiltrat. Zahlreiche Psammomkörperchen.
Zusatzbefund
Multiple kalte Knoten in druckdolenter Struma.
Kommentar
Das diffus sklerosierende papilläre Karzinom ist gekennzeichnet durch eine diffuse Infiltration der gesamten Schilddrüse mit Lymphangiosis carcinomatosa begleitet von einer deutlichen Sklerose und chronischen Entzündung. Dieser Tumortyp tritt bevorzugt bei jüngeren Patienten auf und hat eine schlechte Prognose. Plattenepithelmetaplasien treten in bis zu 7% der Schilddrüsenkarzinome auf.
Datum
Ersteintrag: 31.12.2001
Update: 04.02.2024