Pathopic
HiPaKu
ZyPaKu
PathoBasic
PathoBasic Cytology
Quizzes
Projektinfos
PathoPic - Projekt- und Copyright-Infos
About
Pathopic
HiPaKu
ZyPaKu
PathoBasic
PathoBasic Cytology
Quizzes
PathoPic – image database
/
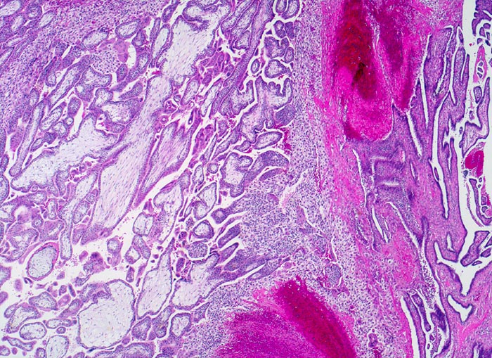
PathoPic ID 3871 - Tubargravidität
de
Diagnose
Tubargravidität
Topographie
Tuba uterina
Topographie Gruppe
Genitalorgane, weiblich
Beschreibung
Rechts im Bild Tubenschleimhaut. Links im Bild Dezidua und Plazentarzotten aus Frühschwangerschaft.
Kommentar
Extrauteringravidität
Bilder Typ
Histologie
Vergrösserung
25
Alter
28
Geschlecht
unbekannt
Datum
Ersteintrag: 31.12.2001
Update: 04.02.2024
CPS
·
©
2024 Institut für Pathologie Basel
/
Dr. med. Katharina Glatz-Krieger
.
·
v2.1