Diagnose
Hodgkin-Lymphom, noduläre Sklerose
Diagnose Gruppe
maligner Tumor
Topographie
Lymphknoten, mediastinal
Topographie Gruppe
Lymphatische Gewebe, KM, Milz
Beschreibung
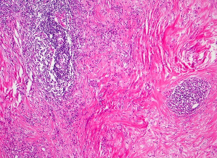
Zerstörung der regulären Zonierung und Gliederung des Lymphknotens durch breite Kollagenfaserstränge, welche Knoten von lymphatischem Gewebe abgrenzen.
Klinik
Mediastinaler Tumorbulk.
Datum
Ersteintrag: 31.12.2001
Update: 04.02.2024