PathoPic – image database / PathoPic ID 3880 - Follikuläres B-Zell Non-Hodgkin-Lymphom

de
Diagnose
Follikuläres B-Zell Non-Hodgkin-Lymphom
Diagnose Gruppe
maligner Tumor
Topographie
Lymphknoten, abdominal
Topographie Gruppe
Lymphatische Gewebe, KM, Milz
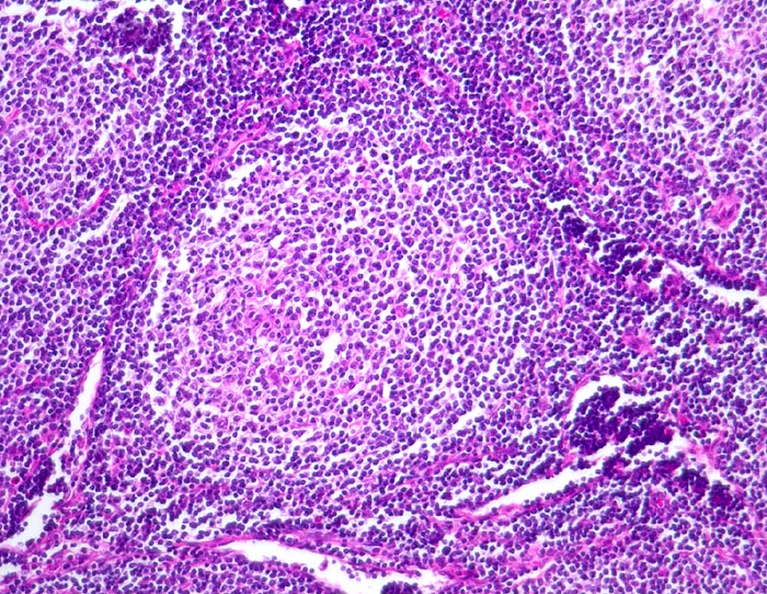
Beschreibung
Neoplastischer Follikel mit unscharfer Begrenzung. Eine dunklere Mantelzone ist nicht erkennbar. Das Follikelzentrum ist auffallend monoton. Es fehlen die Kerntrümmermakrophagen, welche für reaktive Keimzentren typisch sind.
Zusatzbefund
Die Keimzentren sind immunhistochemisch positiv für bcl-2.
Klinik
Generalisierte Lymphknotenvergrösserung peripher und zentral (abdominal und thorakal). Abgesehen von vergrösserten Lymphknoten keine Symptome.
Bilder Typ
Histologie
Vergrösserung
100
Alter
58
Geschlecht
unbekannt
Datum
Ersteintrag: 26.09.2002
Update: 04.02.2024