Pathopic
HiPaKu
ZyPaKu
PathoBasic
PathoBasic Cytology
Quizzes
Projektinfos
PathoPic - Projekt- und Copyright-Infos
About
Pathopic
HiPaKu
ZyPaKu
PathoBasic
PathoBasic Cytology
Quizzes
PathoPic – image database
/
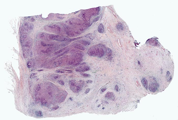
PathoPic ID 3883 - Hodgkin-Lymphom, noduläre Sklerose
de
Diagnose
Hodgkin-Lymphom, noduläre Sklerose
Diagnose Gruppe
maligner Tumor
Topographie
Lymphknoten, mediastinal
Topographie Gruppe
Lymphatische Gewebe, KM, Milz
Beschreibung
Breite Kollagenfaserstränge grenzen
Knoten von lymphatischem Gewebe ab.
Klinik
Mediastinaler Tumorbulk.
Bilder Typ
Histologie
Vergrösserung
Scan
Alter
21
Geschlecht
unbekannt
Datum
Ersteintrag: 28.09.2002
Update: 04.02.2024
CPS
·
©
2024 Institut für Pathologie Basel
/
Dr. med. Katharina Glatz-Krieger
.
·
v2.1