PathoPic – image database / PathoPic ID 3887 - hämorrhagischer Lungeninfarkt

de
Diagnose
hämorrhagischer Lungeninfarkt
Diagnose Gruppe
vaskulär / Durchblutungsstörung
Topographie
Lunge
Topographie Gruppe
Lunge, Mediastinum mit Thymus
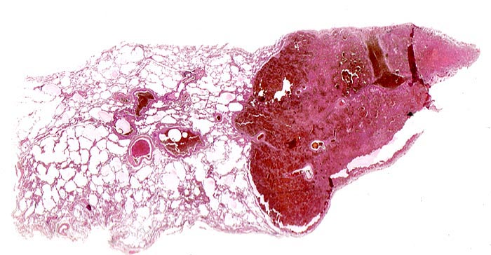
Beschreibung
Frische blutdurchtränkte dreieckige Nekrosezone ohne Organisationszeichen in der Peripherie des Infarktes. Als Ursache für den Infarkt lässt sich im angrenzenden Lungenparenchym ein frischer Embolus in einem peripheren Lungenarterienast nachweisen. Auch dieser zeigt keine Organisationszeichen (kein Kontakt zwischen Gefässwand und Embolus).
Klinik
Tiefe Beinvenenthrombosen bei metastasierendem Prostatakarzinom. Koronare Herzkrankheit.
Bilder Typ
Histologie
Vergrösserung
Scan
Alter
86
Geschlecht
männlich
Datum
Ersteintrag: 31.12.2001
Update: 04.02.2024