PathoPic – image database / PathoPic ID 3889 - Fibroadenom der Mamma

de
Diagnose
Fibroadenom der Mamma
Diagnose Gruppe
benigner Tumor
Topographie
Mamma
Topographie Gruppe
Mamma
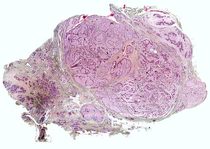
Beschreibung
Rechts im Bild ein scharf begrenzter lobulierter Tumor. Die einzelnen Knoten bestehen aus bäumchenartig oder hirschgeweihartig verzweigten Drüsenschläuchen umgeben von hellem zellarmem Stroma.
Klinik
Scharf begrenzter frei beweglicher 3cm grosser derber Knoten im oberen äusseren Quadranten.
Kommentar
Man unterscheidet perikanalikuläre Fibroadenome mit runden bis ovalen Drüsen von intrakanalikulären Fibroadenomen (Bild 8281), deren Drüsen durch das Stroma komprimiert werden (vorliegender Fall).
Bilder Typ
Histologie
Vergrösserung
Scan
Alter
38
Geschlecht
unbekannt
Datum
Ersteintrag: 28.09.2002
Update: 04.02.2024