PathoPic – image database / PathoPic ID 3894 - extranodales Marginalzonenlymphom vom MALT-Typ

de
Diagnose
extranodales Marginalzonenlymphom vom MALT-Typ
Diagnose Gruppe
maligner Tumor
Topographie
Magenantrum
Topographie Gruppe
Oesophagus, Magen
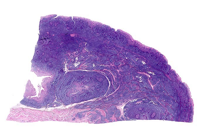
Beschreibung
Diffuses blaues Lymphominfiltrat in Mukosa, Submukosa und Magenwandmuskulatur. An der Oberfläche ist ein schmaler Saum erhaltener heller Schleimhaut erkennbar. Innerhalb des dichten Lymphominfiltrates können hellere rundliche reaktive Lymphfollikel abgegrenzt werden.
Zusatzbefund
-
Klinik
73 jährige Patientin mit chronischer Helikobakter-Gastritis. Magenbefall ohne Lymphknotenbefall.
Kommentar
Oft multifokales Tumorwachstum (Gefahr der falsch negativen Diagnose wegen Trefferfehler bei Biopsie).
Bilder Typ
Histologie
Vergrösserung
Scan
Alter
73
Geschlecht
unbekannt
Datum
Ersteintrag: 28.09.2002
Update: 04.02.2024