PathoPic – image database / PathoPic ID 3896 - Adenokarzinom des Magens

de
Diagnose
Adenokarzinom des Magens
Diagnose Gruppe
maligner Tumor
Topographie
Oesophagogastrischer Uebergang
Topographie Gruppe
Oesophagus, Magen
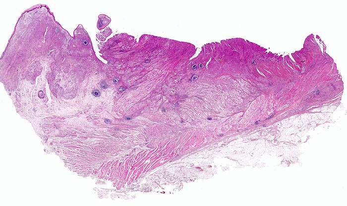
Beschreibung
Links im Bild der Ösophagus mit intaktem plattenepithelialem $o{ay37517Schleimhautüberzug} Schleimhautüberzug. Rechts der proximale Magen. Das unscharf begrenzte Karzinom breitet sich diffus in der gesamten Magenwand aus. Rechts im Bild sieht man die durch den Tumor aufgesplitterte Muscularis propria. Ausserdem breitet sich der Tumor submukös im Ösophagus aus.
Zusatzbefund
Diffuse Verdickung und Versteifung der Magenwand im Sinne einer Linitis plastica bei intakter Schleimhautoberfläche. Aufhebung des Faltenreliefs.
Klinik
Seit einigen Monaten klagte der Patient über unspezifische Oberbauchbeschwerden.
Kommentar
Die Magenkarzinome können nach Lauren in einen intestinalen und einen diffusen Typ eingeteilt werden. Karzinome vom intestinalen Typ bestehen aus Karzinomdrüsen, welche einen umschriebenen expansiv wachsenden Tumor bilden. Der diffuse Typ besteht aus Tumorzellen, welche keine Drüsen bilden sondern die Magenwand einzeln oder in kleinen Verbänden diffus infiltrieren. Meist handelt es sich dabei um den histologischen Subtyp von Siegelringkarzinomen. Daneben gibt es auch eine Mischform mit Anteilen vom diffusen und vom intestinalen Typ.
Bilder Typ
Histologie
Vergrösserung
Scan
Alter
46
Geschlecht
männlich
Datum
Ersteintrag: 28.09.2002
Update: 04.02.2024