PathoPic – image database / PathoPic ID 3901 - Akute myeloische Leukämie (AML)

de
Diagnose
Akute myeloische Leukämie (AML)
Diagnose Gruppe
maligner Tumor
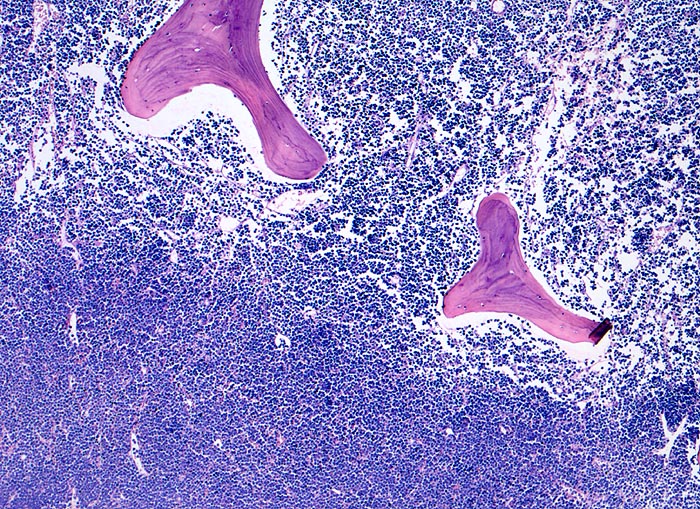
Topographie
Knochenmark, Beckenkamm
Topographie Gruppe
Lymphatische Gewebe, KM, Milz
Beschreibung
Komplette Verdrängung von blutbildendem Mark und vom Fettmark. Infiltration der Knochenmarksräume durch homogene Rasen von undifferenzierten Blasten.
Klinik
Anämie, Neutropenie und Thrombozytopenie mit thrombozytopenischer Purpura.
Bilder Typ
Histologie
Vergrösserung
50
Alter
61
Geschlecht
männlich
Datum
Ersteintrag: 31.12.2001
Update: 04.02.2024