PathoPic – image database / PathoPic ID 3902 - Akute myeloische Leukämie (AML M1)

de
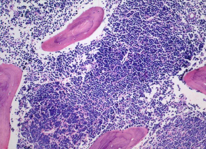
Diagnose
Akute myeloische Leukämie (AML M1)
Diagnose Gruppe
maligner Tumor
Topographie
Knochenmark, Beckenkamm
Topographie Gruppe
Lymphatische Gewebe, KM, Milz
Beschreibung
Komplette Verdrängung des blutbildenden und des Fettmarks. Infiltration der Knochenmarksräume durch homogene Rasen von undifferenzierten Blasten ohne erkennbare promyelozytische Differenzierung: entspricht der FAB Klassifikation AML M1.
Klinik
Anämie, Neutropenie und Thrombozytopenie mit thrombozytopenischer Purpura.
Bilder Typ
Histologie
Vergrösserung
100
Alter
61
Geschlecht
männlich
Datum
Ersteintrag: 28.09.2002
Update: 04.02.2024