PathoPic – image database / PathoPic ID 3904 - Primäre Myelofibrose (PMF)

de
Diagnose
Primäre Myelofibrose (PMF)
Diagnose Gruppe
maligner Tumor
Topographie
Knochenmark, Beckenkamm
Topographie Gruppe
Lymphatische Gewebe, KM, Milz
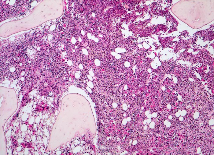
Beschreibung
Hyperplastisches Mark mit wechselnder Verdrängung des Fettmarks. Schon in der Übersicht sind grössere Gruppen von Megakaryozyten erkennbar.
Klinik
Splenomegalie, leichte Anämie, Leukozytose und Thrombozytose festgestellt bei einer Routineuntersuchung bei asymptomatischer Patientin.
Bilder Typ
Histologie
Vergrösserung
50
Alter
62
Geschlecht
unbekannt
Datum
Ersteintrag: 13.01.2002
Update: 04.02.2024