PathoPic – image database / PathoPic ID 3905 - Primäre Myelofibrose (PMF)

de
Diagnose
Primäre Myelofibrose (PMF)
Diagnose Gruppe
maligner Tumor
Topographie
Knochenmark, Beckenkamm
Topographie Gruppe
Lymphatische Gewebe, KM, Milz
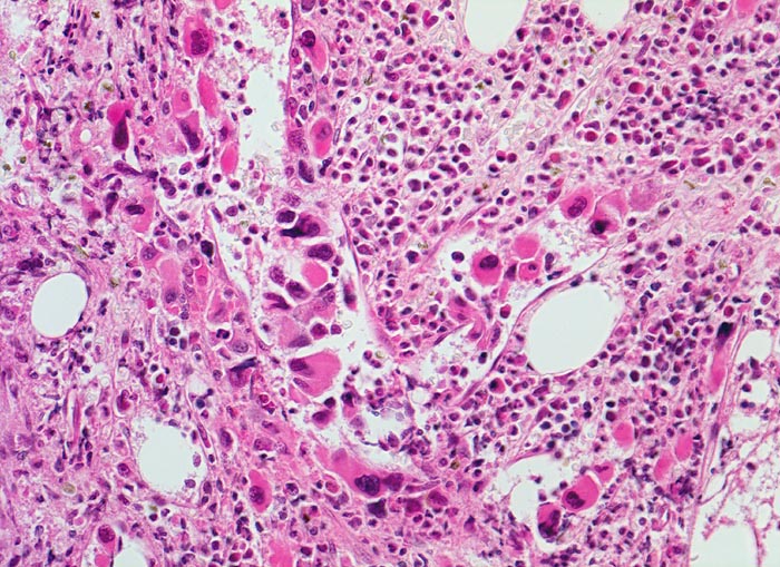
Beschreibung
Vermehrung von atypischen, in Gruppen liegenden Megakaryozyten mit hypolobierten Kernen. Teils nacktkernige Megakaryozyten (d.h. praktisch ohne Zytoplasma). Die Megakaryozyten liegen in einem dilatierten Sinusoid bzw. unmittelbar daneben. Hyperplasie von ausreifenden Granulozyten. Erythropoese hypoplastisch. Durch die Fibrose entsteht der Eindruck von strömenden Zellen (links im Bild).
Klinik
Splenomegalie, leichte Anämie, Leukozytose und Thrombozytose festgestellt bei einer Routineuntersuchung bei abgesehen von leichter Müdigkeit asymptomatischer Patientin.
Bilder Typ
Histologie
Vergrösserung
200
Alter
62
Geschlecht
unbekannt
Datum
Ersteintrag: 28.09.2002
Update: 04.02.2024