PathoPic – image database / PathoPic ID 3906 - Primäre Myelofibrose (PMF)

de
Diagnose
Primäre Myelofibrose (PMF)
Diagnose Gruppe
maligner Tumor
Topographie
Knochenmark, Beckenkamm
Topographie Gruppe
Lymphatische Gewebe, KM, Milz
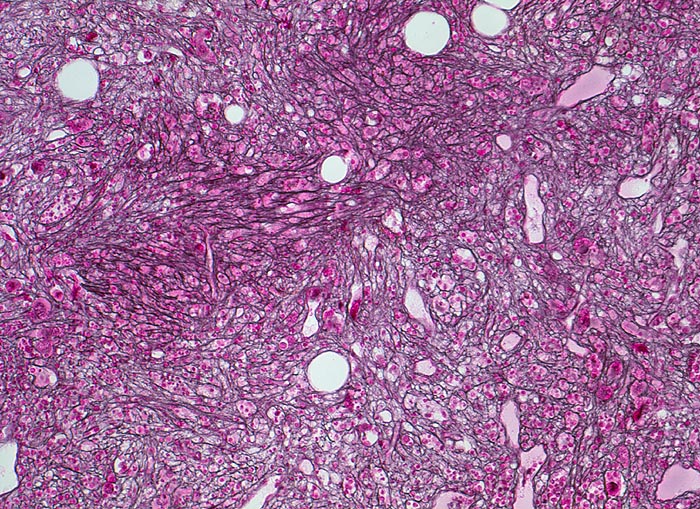
Beschreibung
Ausgeprägte Reticulinfaservermehrung.
Klinik
Splenomegalie, leichte Anämie, Leukozytose und Thrombozytose festgestellt bei einer Routineuntersuchung bei abgesehen von leichter Müdigkeit asymptomatischer Patientin.
Kommentar
Im normalen Knochenmark sind meist nur wenige perivaskuläre und peritrabekuläre Fasern nachweisbar. Die Abgrenzung der idiopathischen Myelofibrose von einer essentiellen Thrombozythämie ist im präfibrotischen Frühstadium sehr schwierig. Neben der idiopathischen Myelofibrose kann eine relevante Markfibrose auch bei chronischer myeloischer Leukämie, bei Polyzythämia vera oder sehr selten bei einem myelodysplastischen Syndrom vorkommen.
Bilder Typ
Histologie
Vergrösserung
100
Alter
62
Geschlecht
unbekannt
Datum
Ersteintrag: 13.01.2002
Update: 04.02.2024