Diagnose
Akute myeloische Leukämie (AML M1 ohne Ausreifung)
Diagnose Gruppe
maligner Tumor
Topographie
Knochenmark, Beckenkamm
Topographie Gruppe
Lymphatische Gewebe, KM, Milz
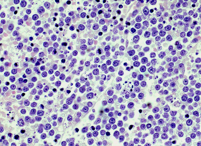
Beschreibung
Mittelgrosse Myeloblasten vom Typ I (12-20 Mikrometer, zum Vergleich Erythrozyten 7 Mikrometer) mit grossen rundlichen Kernen und unterschiedlich prominenten Nukleolen. Schmaler agranulärer basophiler Zytoplasmasaum. Hohe Kernplasmarelation.
Klinik
Anämie, Neutropenie und Thrombozytopenie mit thrombozytopenischer Purpura.
Kommentar
Eine akute myeloische Leukämie ohne Ausreifung (AML-M1) ist definiert als: mehr als 90% der nicht erythroiden Zellen sind Blasten ohne Ausreifung zu reiferen Neutrophilen. Die myeloische Natur der Blasten wird bestätigt durch den Nachweis von Myeloperoxidaseexpression in mehr als 3% der Blasten.
Für die FAB (French-American-British) Subklassifizierung der akuten myeloischen Leukämien in die Klassen AML-M0 bis M7 ist die Anwendung von Zusatzuntersuchungen erforderlich (Histochemie, Immunhistochemie). Zunehmend werden auch wiederkehrende genetische Veränderungen in die Beurteilung mit einbezogen, wobei für die AML-M1 noch keine spezifischen chromosomalen Veränderungen bekannt sind.
Datum
Ersteintrag: 13.01.2002
Update: 04.02.2024