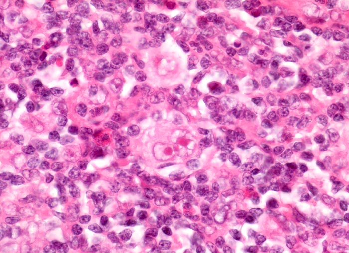
In der Bildmitte eine Reed-Sternbergzelle mit spiegelbildlich angeordneten Kernen mit sehr prominenten eosinophilen Nukleolen. Die Tumorzelle ist umgeben von einem reaktiven gemischtzelligen Infiltrat. Oberhalb der Reed-Sternbergzelle eine einkernige neoplastische Hodgkinzelle umgeben von einem schmalen Spaltraum.