PathoPic – image database / PathoPic ID 3913 - Primäre Myelofibrose (PMF)

de
Diagnose
Primäre Myelofibrose (PMF)
Diagnose Gruppe
maligner Tumor
Topographie
Knochenmark, Beckenkamm
Topographie Gruppe
Lymphatische Gewebe, KM, Milz
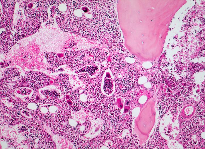
Beschreibung
Hyperplastisches Mark mit fast vollständiger Verdrängung des Fettmarks. Typisch ist der Nachweis von Blutbildungsherden und Megakaryozyten in erweiterten Marksinus.
Klinik
Splenomegalie, leichte Anämie, Leukozytose und Thrombozytose festgestellt bei einer Routineuntersuchung bei asymptomatischer Patientin.
Bilder Typ
Histologie
Vergrösserung
100
Alter
62
Geschlecht
unbekannt
Datum
Ersteintrag: 28.09.2002
Update: 04.02.2024