PathoPic – image database / PathoPic ID 3914 - Primäre Myelofibrose (PMF)

de
Diagnose
Primäre Myelofibrose (PMF)
Diagnose Gruppe
maligner Tumor
Topographie
Knochenmark, Beckenkamm
Topographie Gruppe
Lymphatische Gewebe, KM, Milz
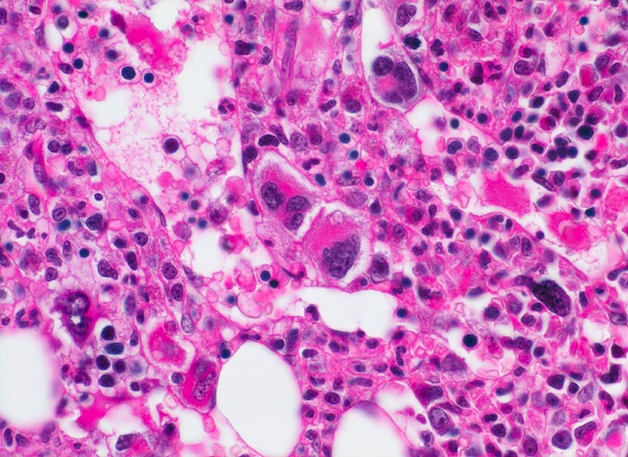
Beschreibung
Neben atypischen, teils nacktkernigen Megakaryozyten zahlreiche Erythropoeseherde und myeloische Zellen verschiedener Reifungsstufen. Die Hämopoese ist auch in den dilatierten Markgefässen nachweisbar.
Klinik
Splenomegalie, leichte Anämie, Leukozytose und Thrombozytose festgestellt bei einer Routineuntersuchung bei asymptomatischer Patientin.
Bilder Typ
Histologie
Vergrösserung
400
Alter
62
Geschlecht
unbekannt
Datum
Ersteintrag: 13.01.2002
Update: 04.02.2024