Zarte Lymphknotenkapsel.
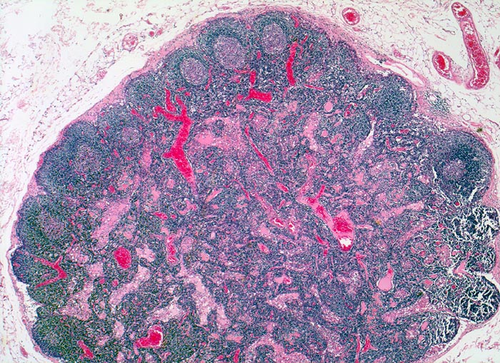
Normale Lymphknotenarchitektur mit Primär- und Sekundärfollikeln (mit Keimzentrum) in der Rinde. Im Zentrum des Lymphknotens das Mark mit zahlreichen Lymph- und Blutgefässen. Lymphgefässe: Randsinus=Marginalsinus, Intermediärsinus, Marksinus.
Klinik
Perikolischer tumorfreier Lymphknoten aus dem Abflussgebiet eines wenig fortgeschrittenen Kolonkarzinoms.