PathoPic – image database / PathoPic ID 3923 - retikulozytär-abszedierende Lymphadenitis bei Katzenkratzkrankheit

de
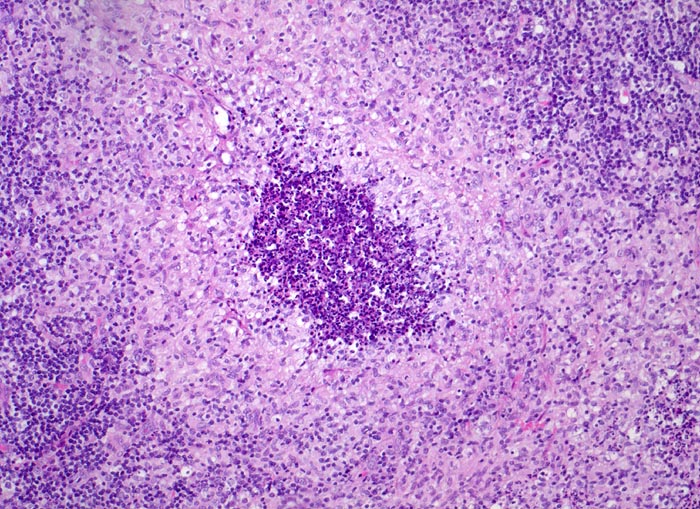
Diagnose
retikulozytär-abszedierende Lymphadenitis bei Katzenkratzkrankheit
Diagnose Gruppe
Entzündung infektiös
Topographie
Lymphknoten, Axilla
Topographie Gruppe
Lymphatische Gewebe, KM, Milz
Beschreibung
Granulom mit zentraler Nekrosezone mit massenhaft neutrophilen Granulozyten gesäumt von Histiozyten (Retikulumzellen).
Zusatzbefund
Nachweis von kleinen pleomorphen Bakterien
Klinik
Druckschmerzhafte Lymphknotenvergrösserung in der rechten Axilla 2 Wochen nachdem der Patient von seiner Katze an der rechten Hand gekratzt wurde.
Kommentar
Keine käsige Nekrose wie bei Tbc.
Bilder Typ
Histologie
Vergrösserung
200
Alter
8
Geschlecht
männlich
Datum
Ersteintrag: 28.09.2002
Update: 04.02.2024