reaktive lymphatische Hyperplasie bei Katzenkratzkrankheit
Diagnose Gruppe
Entzündung infektiös
Topographie
Lymphknoten, Axilla
Topographie Gruppe
Lymphatische Gewebe, KM, Milz
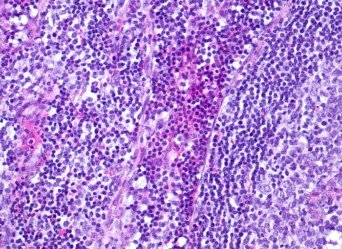
Beschreibung
Das Lymphknotenparenchym ausserhalb der retikulozytär abszedierten Läsionen zeigt eine reaktive Hyperplasie mit Ausbildung von Sekundärfollikeln (Anschnitt eines Keimzentrums). Links davon die interfollikuläre Zone mit einem Sinus, welcher mit Entzündungszellen gefüllt ist (Bildmitte).
Klinik
Druckschmerzhafte Lymphknotenvergrösserung in der rechten Axilla 2 Wochen nachdem der Patient von seiner Katze an der rechten Hand gekratzt wurde.