Diagnose
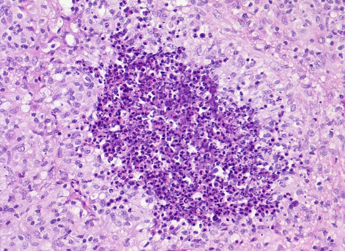
retikulozytär-abszedierende Lymphadenitis bei Katzenkratzkrankheit
Diagnose Gruppe
Entzündung infektiös
Topographie
Lymphknoten, Axilla
Topographie Gruppe
Lymphatische Gewebe, KM, Milz
Beschreibung
Zentrale Gewebseinschmelzung umgeben von einem breiten Saum von Epitheloidzellen.
Zusatzbefund
Nachweis von kleinen pleomorphen Bakterien in der Versilberung (Warthin Starry Färbung)
Klinik
Druckschmerzhafte Lymphknotenvergrösserung in der rechten Axilla 2 Wochen nachdem der Patient von seiner Katze an der rechten Hand gekratzt wurde.
Datum
Ersteintrag: 09.05.2002
Update: 04.02.2024