PathoPic – image database / PathoPic ID 3927 - chronische lymphozytische Leukämie vom B-Zell Typ

de
Diagnose
chronische lymphozytische Leukämie vom B-Zell Typ
Diagnose Gruppe
maligner Tumor
Topographie
Lymphknoten, inguinal
Topographie Gruppe
Lymphatische Gewebe, KM, Milz
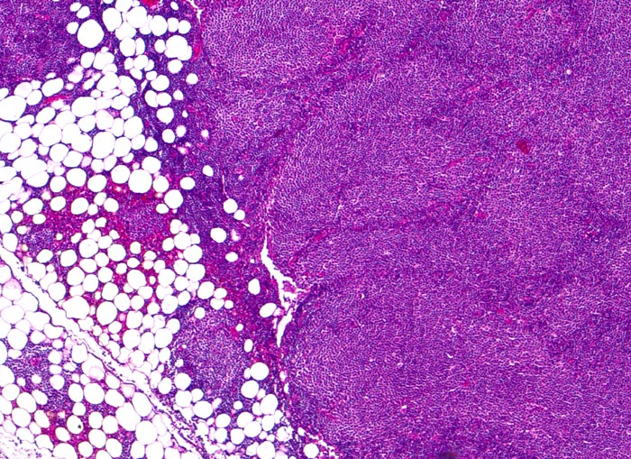
Beschreibung
Diffuse CLL-Inifiltration des Lymphknotens mit Übergreifen des neoplastischen Infiltrates auf das umgebende Fettgewebe. Die hellen Areale entsprechen Proliferationszentren (Pseudofollikel) bestehend aus Lymphozyten, Prolymphozyten und Paraimmunoblasten.
Klinik
Asymptomatische Patientin mit generalisierter Lymphknotenvergrösserung. Zufallsbefund.
Bilder Typ
Histologie
Vergrösserung
50
Alter
82
Geschlecht
unbekannt
Datum
Ersteintrag: 25.05.2002
Update: 04.02.2024