PathoPic – image database / PathoPic ID 3938 - retikulozytär-abszedierende Lymphadenitis bei Katzenkratzkrankheit

de
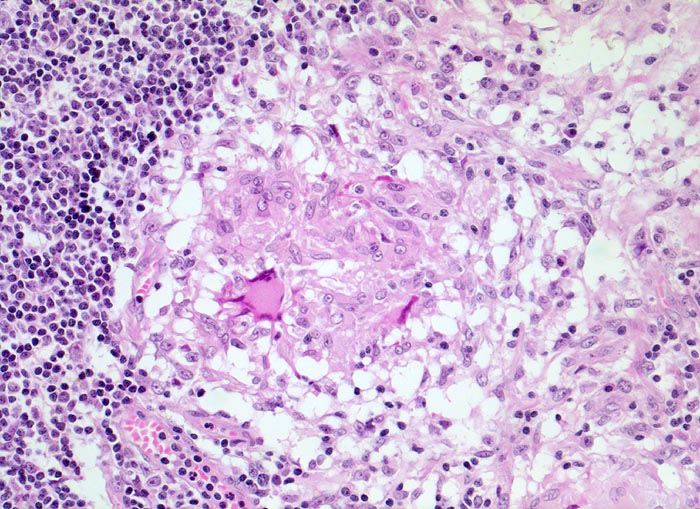
Diagnose
retikulozytär-abszedierende Lymphadenitis bei Katzenkratzkrankheit
Diagnose Gruppe
Entzündung infektiös
Topographie
Lymphknoten, Axilla
Topographie Gruppe
Lymphatische Gewebe, KM, Milz
Beschreibung
Neben zentral abszedierten Granulomen (hier nicht im Bild) finden sich auch epitheloidzellige nicht nekrotisierende Granulome mit Riesenzellen.
Klinik
Druckschmerzhafte Lymphknotenvergrösserung in der rechten Axilla 2 Wochen nachdem der Patient von seiner Katze an der rechten Hand gekratzt wurde.
Bilder Typ
Histologie
Vergrösserung
200
Alter
8
Geschlecht
männlich
Datum
Ersteintrag: 28.09.2002
Update: 04.02.2024