retikulozytär-abszedierende Lymphadenitis bei Katzenkratzkrankheit
Diagnose Gruppe
Entzündung infektiös
Topographie
Lymphknoten, Axilla
Topographie Gruppe
Lymphatische Gewebe, KM, Milz
Beschreibung
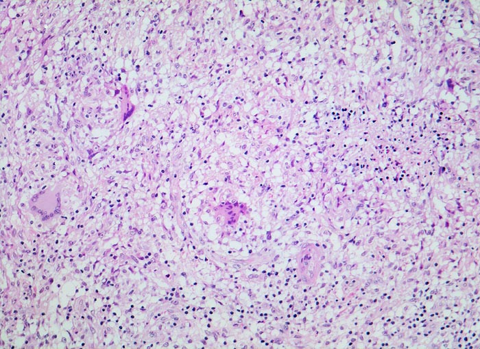
Ausschnitt aus der verbreiterten Lymphknotenkapsel mit zahlreichen konfluierten epitheloidzelligen Granulomen mit Riesenzellen. Auf diesem Bild ist lediglich eine kleine umschriebene von Granulozyten durchsetzte Nekrose sichtbar. Die Riesenzellen sind teils vom Fremdkörpertyp mit unregelmässig angeordneten Kernen, teils vom Langhans Typ mit hufeisenförmig in der Zellperipherie aufgereihten Kernen.
Klinik
Druckschmerzhafte Lymphknotenvergrösserung in der rechten Axilla 2 Wochen nachdem der Patient von seiner Katze an der rechten Hand gekratzt wurde.