PathoPic – image database / PathoPic ID 3947 - adenoides Basalzellkarzinom

de
Diagnose
adenoides Basalzellkarzinom
Diagnose Gruppe
maligner Tumor
Topographie
Haut, Kopf
Topographie Gruppe
Haut
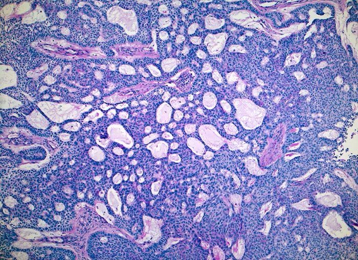
Beschreibung
Das Basalzellkarzinom zeigt innerhalb solider monomorpher Zellplatten zahlreiche an Drüsen erinnernde Hohlraumbildungen ähnlich einem adenoidzystischen Karzinom. In den Randbereichen der Zellplatten ist die typische Palisadierung der Tumorzellen erkennbar.
Klinik
Karzinom?
Bilder Typ
Histologie
Vergrösserung
50
Alter
85
Geschlecht
männlich
Datum
Ersteintrag: 08.07.2002
Update: 04.02.2024