PathoPic – image database / PathoPic ID 3951 - solides Basalzellkarzinom mit Verhornung

de
Diagnose
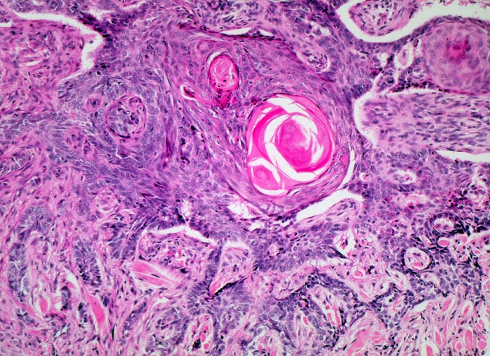
solides Basalzellkarzinom mit Verhornung
Diagnose Gruppe
maligner Tumor
Topographie
Haut, Kopf
Topographie Gruppe
Haut
Beschreibung
Zackig begrenzte Epithelverbände aus basaloiden Zellen mit randständiger Palisadierung. Hornperlen im Zentrum der grössten Epithelverbände.
Klinik
Stark ulzerierender Wangentumor links
Bilder Typ
Histologie
Vergrösserung
100
Alter
83
Geschlecht
männlich
Datum
Ersteintrag: 08.07.2002
Update: 04.02.2024