Diagnose
oberflächlich spreitendes Melanom (SSM)
Diagnose Gruppe
maligner Tumor
Topographie
Haut, untere Extremität
Beschreibung
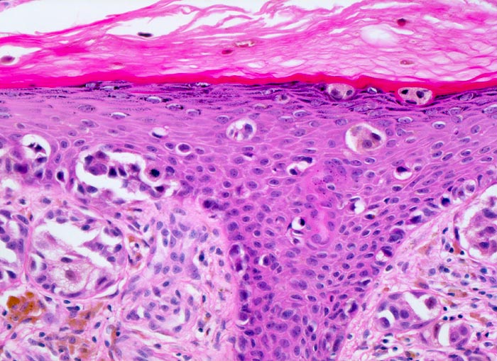
Tumorzellballen mit grossen atypischen melanozytären Zellen umgeben von stark pigmentierten Melanophagen in der papillären Dermis. Innerhalb der gesamten Epidermisbreite finden sich die Tumorzellen alleine oder in kleinen Gruppen.
Zusatzbefund
Leicht erhabener scharf begrenzter brauner in der Mitte
dunkelbraun gefärbter Bezirk, max. Dm 15mm
Infiltration des Stratum papillare bis an das Stratum reticulare
und einer max. Tumordicke von 1,12mm (pT2; Clark Level III).
Klinik
Verdächtiger Nävus Kniekehle links.
Datum
Ersteintrag: 13.01.2002
Update: 04.02.2024