Pathopic
HiPaKu
ZyPaKu
PathoBasic
PathoBasic Cytology
Quizzes
Projektinfos
PathoPic - Projekt- und Copyright-Infos
About
Pathopic
HiPaKu
ZyPaKu
PathoBasic
PathoBasic Cytology
Quizzes
PathoPic – image database
/
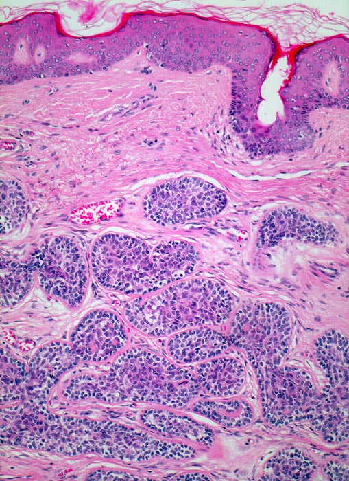
PathoPic ID 3963 - adenoidzystisches Karzinom der Haut
de
Diagnose
adenoidzystisches Karzinom der Haut
Diagnose Gruppe
maligner Tumor
Topographie
Haut, Kopf
Topographie Gruppe
Haut
Beschreibung
Solide scharf begrenzte Verbände dichtliegender Tumorzellen. Innerhalb der soliden Verbände mit eosinophilem Material aufgefüllte meist runde zellfreie Areale.
Klinik
Tumor an der Ohrmuschel
Bilder Typ
Histologie
Vergrösserung
100
Alter
55
Geschlecht
unbekannt
Datum
Ersteintrag: 13.01.2002
Update: 04.02.2024
CPS
·
©
2024 Institut für Pathologie Basel
/
Dr. med. Katharina Glatz-Krieger
.
·
v2.1